TRATAMENTO CIRÚRGICO DAS EPILEPSIAS GENERALIZADAS
 
O objetivo do tratamento cirúrgicos das epilepsias generalizadas é “bloquear” a propagação da crise, uma vez que não existe um foco bem definido que possa ser removido.
 
2) Estimulação do nervo vago
 

Em 1997 foi aprovado nos EUA, o método de estimulação do nervo vago como tratamento adjuvante para reduzir a freqüência das crises em adultos e adolescentes com mais de 12 anos, com crises de início parcial, resistentes às medicações anti-epilépticas e que não eram candidatos a tratamento cirúrgico convencional. O estimulador do nervo vago consiste de um gerador, como marca passo e fio bipolar com dois eletrodos para estimulação (figura 105). O nervo vago foi escolhido por ser de fácil acesso cirúrgico, possuir poucas fibras para dor e ampla projeção anatômica no cérebro. O nervo vago esquerdo foi escolhido por ter menos inervação sobre o coração do que o direito. Por meio de uma incisão no lado esquerdo do pescoço, o nervo vago é exposto junto à bainha carotídea, os fios do estimulador são enrolados no nervo (figura 106) e o gerador é colocado na fossa acima da clavícula ou na região axilar. O mecanismo de ação do estimulador do nervo vago sobre as crises epilépticas ainda não está completamente elucidado, mas provavelmente envolve o sistema ativador reticular ascendente, conexões centrais do sistema nervoso autônomo, sistema límbico e o sistema de projeções noradrenérgicas.

Após a implantação em mais de 16.000 casos em cinco anos, os dados preliminares sobre a eficácia e os efeitos colaterais da estimulação do nervo foram os seguintes: a redução da freqüência das crises é mais acentuada nos grupos com alta estimulação (30Hz, durante 30 segundos, com 5 minutos de intervalo, e pulsos de 550 microsegundos).

De modo geral, a redução média das crises após 3 meses de uso foi de 34% e, após 12 meses, de 45%. Também após 12 meses, 20% dos pacientes apresentaram redução das crises em até 75%.

Dos 16.000 pacientes submetidos ao implante nos EUA, 28,9% eram da faixa etária pediátrica, dos quais 16,3% tinham menos de 12 anos. Um ano após o implante do estimulador do nervo vago, 61% dos pacientes tiveram redução de pelo menos 50% das crises, resultado semelhante ao obtido nos pacientes adultos. Ainda segundo esse mesmo estudo, além do efeito benéfico sobre a epilepsia, houve melhora de humor, alerta, habilidades verbais, memória e desempenhos escolar e profissional. É interessante enfatizar que os autores referem que esses efeitos não ocorreram apenas devido à redução da freqüência das crises, pois houve melhora inclusive nos pacientes que não obtiveram redução das crises.

Aparentemente, o implante do estimulador do nervo vago parece ser método eficaz e é indicado para aqueles pacientes com epilepsia resistente ao tratamento com medicamentos anti-epilépticos, para os quais não está indicado o tratamento cirúrgico convencional ou que já foram submetidos ao tratamento cirúrgico sem sucesso. A grande desvantagem desse método é o alto custo.

 

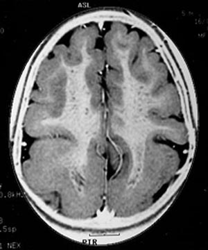
Figura 104 - Ressonância nuclear magnética de uma criança portadora de malformação grave do córtex cerebral nos 2 hemisférios cerebrais (lissencefalia) e crises epilépticas de difícil controle

 

Figura 105 -O estimulador do nervo vago consiste de um gerador e o fio bipolar

 

Figura 106 - Fotografia obtida durante a cirurgia demonstrando o nervo vago envolto pelos eletrodos do fio bipolar.