TRATAMENTO CIRÚRGICO DAS EPILEPSIAS PARCIAIS
 
8. Implante de placas ou eletrodos subdurais

Muitas vezes o quadro clínico e eletrofisiológico do paciente indica que a área ou as áreas que geram as crises estão localizadas próximas à área ou áreas do cérebro consideradas muito importantes ou “eloqüentes”, tais como área motora (área responsável pelos movimentos da outra metade do corpo) e área de linguagem (responsável pela capacidade de expressar e de entender). Para que o paciente fique livre de crises é preciso remover o foco epiléptico com precisão e sem causar danos ao paciente (como hemiplegia, afasia de expressão ou compreensão). Para isso é preciso saber com exatidão a localização da área ou áreas eloqüentes e também saber com exatidão a localização do foco epiléptico.

Isso poderia ser obtido na cirurgia através de estimulação elétrica do córtex cerebral com paciente sob anestesia geral (para determinação da área motora) (Figura 72) ou com o paciente acordado (para determinação das áreas de linguagem de expressão e da compreensão) e com a realização intra-operatória de eletrocorticografia. Porém ambos procedimentos podem sofrer influências externas durante a cirurgia e não traduzir com fidelidade o que realmente acontece com o cérebro do paciente no seu dia a dia, além do tempo limitado que a equipe cirúrgica dispõe para estudar e estimular as áreas do cérebro.

Nesse caso, através de uma cirurgia coloca-se estrias ou placas subdurais (eletrodos subdurais) diretamente sobre a parte ou as partes suspeitas do cérebro, depois a cirurgia é fechada e o paciente é conduzido de volta para a unidade de vídeo monitorização (Unidade de Vídeo-EEG) para registro de crises (para determinar o local ou os locais onde se originam as crises) e para estimulação elétrica (determinação das áreas eloqüentes). Esta etapa de investigação é também chamada de Fase II (etapas de investigação).Depois de localizar com exatidão o foco epiléptico e as áreas eloqüentes, o paciente volta para a sala da cirurgia (geralmente 5 a 7 dias depois da primeira cirurgia) para remover o foco epiléptico.

Os eletrodos subdurais também podem ser usados em casos onde após uma investigação criteriosa (etapas de investigação), há fortes indícios que uma determinada área do cérebro seja o foco da epilepsia do paciente, porém sem lesão detectável na ressonância nuclear magnética. Nesses casos pode-se implantar placas ou eletrodos especificamente naquela área suspeita e proporcionar um estudo mais minucioso da região sob suspeita.

 

8a) Displasia cortical focal


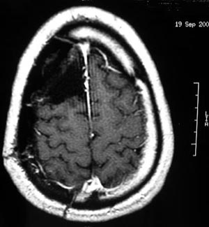
Figura 92 - Ressonância nuclear magnética de encéfalo mostrando a lesão junto à área motora no hemisfério cerebral direito.


Figura 93 - Fotografia obtida durante a cirurgia. As setas indicam as placas subdurais implantadas.


Figura 94 - Radiografia obtida após a cirurgia demonstrando as placas subdurais implantadas.

 

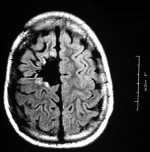
Figura 95- Ressonância nuclear magnética pós operatória revelando a ressecção da lesão. A paciente evoluiu com diminuição de força na metade esquerda do corpo (hemiparesia esquerda). Em 2 semanas voltou a caminhar sozinha. Houve melhora importante das crises.

 
8b) Epilepsia focal (frontal direito) sem lesão visível na ressonância nuclear magnética de encéfalo
 

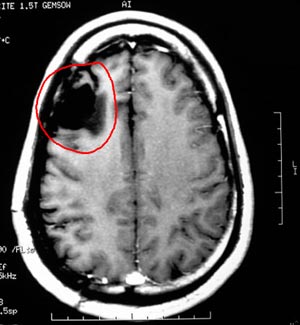
Figura 96 - Ressonância nuclear magnética de encéfalo antes da cirurgia revelando a cavidade da cirurgia prévia

 

Figura 97 - Fotografia obtida durante a cirurgia após implante de 2 placas subdurais..

 

Figura 98 - Radiografia obitda após a cirurgia demonstrando as placas subdurais implantadas.

 

Figura 99 - Ressonância nuclear magnética pós-operatória revelando a ressecção. Apresentou apenas 1 crise fraca em 2 anos de seguimento depois da cirurgia quando tentou-se retirar a medicação anticonvulsivante.