TRATAMENTO CIRÚRGICO DAS EPILEPSIAS GENERALIZADAS
 
O objetivo do tratamento cirúrgicos das epilepsias generalizadas é “bloquear” a propagação da crise, uma vez que não existe um foco bem definido que possa ser removido.
 
1) Calosotomia
 

Este procedimento é indicada nos casos de “drop attack” ou “crises de queda”. Neste tipo de crise o paciente epiléptico cai subitamente, podendo machucar-se gravemente (são geralmente pacientes que exibem muitas cicatrizes no queixo, na cabeça e que muitas vezes são obrigados a permanecerem o tempo todo com capacete de proteção). O objetivo do procedimento é interromper a principal ligação que existe entre os 2 hemisférios cerebrais, o corpo caloso, para que a crise atinja apenas 1 hemisfério cerebral, não havendo propagação para ambos hemisférios cerebrais (porque quando isso ocorre, o paciente perde a consciência e cai).


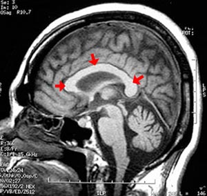
Figura 100 - Ressonância nuclear magnética do encéfalo (normal) antes da cirurgia.


Figura 101 - Fotografia do corpo caloso (setas azuis) obtida durante a cirurgia.

Figura 102 - Ressonância nuclear magnética do encéfalo depois da cirurgia demonstrando a interrupção de 2/3 anteriores do corpo caloso (setas azuis)

 

Figura 103 - Ressonância nuclear magnética com TRATOGRAFIA (exame específico para estudo de fibras nervosas) demonstrando a interrupção das fibras de 2/3 anteriores do corpo caloso. As fibras remanescentes do corpo caloso são demonstradas em cor laranja.