TRATAMENTO CIRÚRGICO DAS EPILEPSIAS PARCIAIS
 
2. Ressecções frontais (foco localizado no lobo frontal)
(Quais são os sintomas da epilepsia?)
 

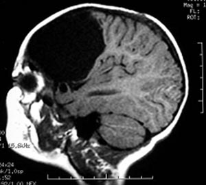
2a) Displasia cortical focal


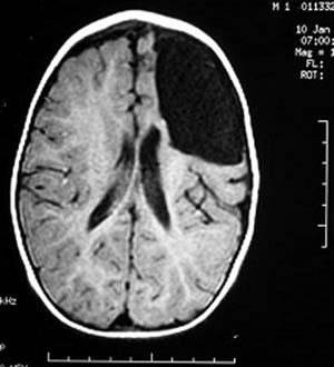
Figura 41 e 42 - Ressonância nuclear magnética antes da cirurgia.

 

Figura 43 - Fotografia realizada durante a cirurgia.

 

Figura 44 e 45 - Ressonância nuclear magnética realizada 3 meses após a cirurgia mostrando remoção adequada da lesão. Esse paciente permaneceu sem crises desde sua cirurgia realizada em 2005 e segue em acompanhamento médico, já sem medicação.

 
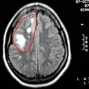
2b) Teratoma maduro
 

Figura 46 - Ressonância nuclear magnética antes da cirurgia

 

Figura 47 - Fotografia realizada durante a cirurgia

 

Figura 48 - Ressonância nuclear magnética realizada 3 meses após a cirurgia mostrando remoção adequada da lesão. Esse paciente apresentava crises desde seu nascimento havia 30 anos. Foi operado em 2003 e permaneceu sem crises desde então.

 
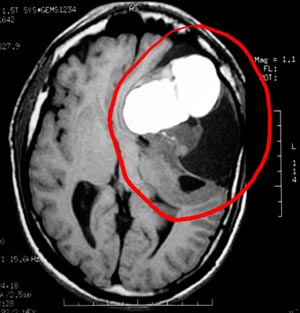
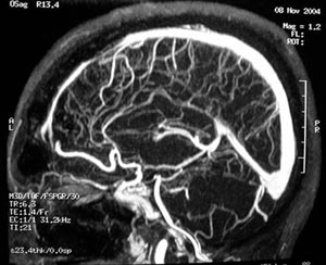
2c) Malformação arteriovenosa (MAV)
 

Figura 49 - Angiografia cerebral antes da cirurgia.


Figura 50 - Fotografia realizada durante a cirurgia.


Figura 51 - Angio-ressonância cerebral realizada 5 dias após a cirurgia mostrando remoção total da lesão.

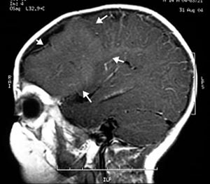
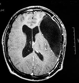
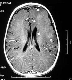
2d) Gliose (processo cicatricial do cérebro)


Figura 52 - Ressonância nuclear magnética pré-operatória.


Figura 53 - Fotografia intra-operatória.


Figura 54 - Ressonância nuclear magnética pós-operatória mostrando extensa ressecção frontal. Quando o paciente apresenta lesão extensa como esse caso, muitas vezes somente uma ressecção igualmente extensa deixará o paciente livre de crises.