TRATAMENTO CIRÚRGICO DAS EPILEPSIAS PARCIAIS
 
Muitas cirurgias ressectivas dessa série foram realizadas com o auxílio de eletrocorticografia intra-operatória (Figura 59).
 

Figura 59

 

3. Ressecções parietais (foco localizado no lobo parietal)
(Quais são os sintomas da epilepsia?)

 

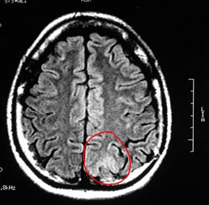
3a) Displasia cortical focal

 

Figura 55 - Ressonância nuclear magnética pré-operatória.

 

Figura 56 - Aspecto intraoperatório da lesão.

 

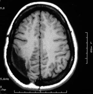
Figura 57 - Ressonância nuclear magnética pós-operatória mostrando adequada ressecção da lesão.

 
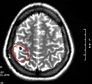
3b) Neurocisticercose
 

Figura 58 - Ressonância nuclear magnética pré-operatória.

 

Figura 59 - Fotografia mostrando o uso de eletrocorticografia intra-operatória.

 

Figura 60- Ressonância nuclear magnética pós-operatória mostrando adequada ressecção da lesão.