TRATAMENTO CIRÚRGICO DAS EPILEPSIAS PARCIAIS
 
4. Ressecções insulares (foco localizado na ínsula)
(Quais são os sintomas da epilepsia?)
 
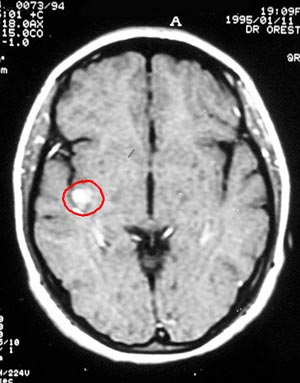
4a) Astrocitoma pilocítico
 

Figura 61 - Ressonância nuclear magnética pré-operatória.

 

Figura 62 - Fotografia intra-operatória demonstrando a lesão.

 

Figura 63 - Ressonância nuclear magnética pós-operatória mostrando adequada ressecção da lesão. Esse paciente ficou livre de crises.

 
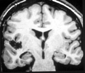
4b) Cavernoma
 

Figura 64 - Ressonância nuclear magnética pré-operatória.

 

Figura 65 - Fotografia intra-operatória demonstrando a lesão.

 

Figura 66 - Ressonância nuclear magnética pós-operatória mostrando adequada ressecção da lesão.