TRATAMENTO CIRÚRGICO DAS EPILEPSIAS PARCIAIS
 
5. Ressecções multilobares (focos localizados em mais
de um lobo cerebral)
(Quais são os sintomas da epilepsia?)
 
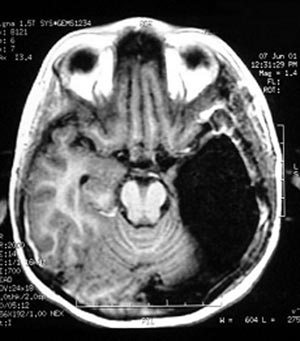
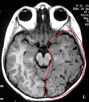
5a) Displasia cortical frontotemporal (lobos frontal e temporal)
 

Figura 67 - Ressonância nuclear magnética pré-operatória.

 

Figura 68 - Ressonância nuclear magnética pós-operatória mostrando adequada ressecção da lesão.

 
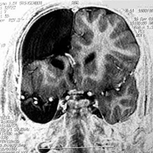
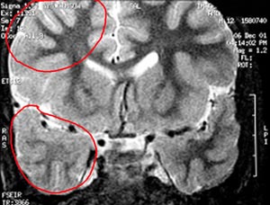
5b) Displasia cortical têmporo-occipital (lobos temporal e occipital)
 

Figura 69 - Ressonância nuclear magnética pré-operatória.

 

Figur70 - Fotografia intra-operatória demonstrando a lesão.

 

Figura 71- Ressonância nuclear magnética pós-operatória mostrando adequada ressecção da lesão.